Em seis meses de atuação, profissionais de educação física da Policlínica Codajás reabilitam cerca...
Os pacientes chegam aos profissionais encaminhados pelo setor de fisioterapia do CER IV ou indicados pelo ortopedista da unidadeA Policlínica Codajás, unidade da Secretaria...
Saúde do Amazonas divulga atualização do cenário de Covid-19 e vacinação nesta quinta-feira
Informações são atualizadas diariamente e estão disponíveis no site da FVS-RCP, no endereço www.fvs.am.gov.brA Fundação de Vigilância em Saúde do Amazonas – Drª Rosemary...
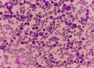
Tratamento experimental cura 18 pacientes com leucemia, mostra estudo
Um tratamento experimental contra leucemia mielogênica aguda (LMA) levou à remissão total da doença em 18 pacientes inscritos em um estudo da Universidade do...
Vídeo : Mulher sofre com condição rara que faz sua pele descamar rapidamente
A americana Becca Joy, de 24 anos, tem chamado atenção no TikTok ao compartilhar vídeos sobre seu dia a dia. A moradora de Nova...
Setor de dispensação de bolsa de estomia é inaugurado na Policlínica Codajás
Usuários terão acesso a um espaço adequado e exclusivo para retirada de bolsas e outros materiais para o cuidado com a estomiaA Policlínica Codajás,...
Hospital Delphina Aziz realiza Workshop Interno de Capacitação em Transplante Renais no estado
O evento foi voltado para a equipe multidisciplinar responsável pelo processo de realização dos primeiros transplantes renaisO Hospital e Pronto Socorro Delphina Rinaldi Abdel...
Saúde do Amazonas atualiza cenário de Covid-19 e vacinação nesta terça-feira
Informações são atualizadas diariamente e estão disponíveis no site da FVS-RCP, no endereço www.fvs.am.gov.brA Fundação de Vigilância em Saúde do Amazonas – Drª Rosemary...
PAIC: Saúde abre inscrições para o Programa de Iniciação Científica em Vigilância em Saúde
A Fundação de Vigilância em Saúde do Amazonas (FVS-RCP), instituição vinculada à Secretaria de Estado e Saúde (SES), em parceria com a Fundação de...
Pioneira do +RespirAR, paciente relata história de superação por meio de tratamento no programa
_ Referência internacional, programa permite que pacientes tenham um recomeço após sequelas da Covid-19_Histórias de superação são marcas registradas do +RespirAR, que se tornou...
Março Lilás: Captura Híbrida é um dos exames mais importantes no combate ao câncer...
Considerado há muitos anos como o mês da mulher, março ganhou recentemente uma nova repercussão entre o público feminino, mas desta vez, voltada às...
Expo-TB: Alunos participam de atividades educativas sobre a Tuberculose
Os estudantes também apresentaram trabalhos elaborados em sala de aulaAlunos do Centro Integrado Municipal de Educação (Cime) Professor Doutor José Aldemir de Oliveira, no...
Saúde do Amazonas reforça medidas de prevenção sobre traumas ortopédicos
Essas lesões geralmente são o resultado de incidente repentino, ou lesões por práticas esportivasA Secretaria de Estado da Saúde (SES-AM), por meio da Fundação...


















